

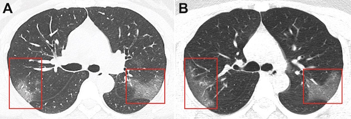
Un grupo de investigadores del Primer Hospital de la Universidad de Lanzhou (China) ha publicado este viernes dos radiografías de tórax de una mujer infectada por el coronavirus 2019-nCoV en la revista Radiology. La segunda—tomada al cabo de 3 días—mostró los signos del avance de la enfermedad.
La mujer, de 33 años, trabaja en Wuhan y viajó a la ciudad de Lanzhou un día antes de que empezaran sus síntomas. Transcurrido un tiempo, tuvo que acudir al hospital, ya que para ese momento llevaba 5 días con tos y 39 ºC de fiebre. Los médicos detectaron que la paciente, que se mantiene en el anonimato, presentaba una respiración “áspera” y un recuento bajo de glóbulos blancos: signos de la infección.

